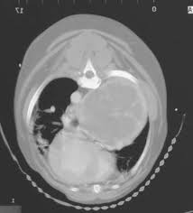
Secondary Lung Cancer Dogs : Respiratory Problems In Dogs Trudell Animal Health : Most lung tumors are malignant carcinomas (frequently in the form of adenocarnimas).
Dapatkan link
Facebook
X
Pinterest
Email
Aplikasi Lainnya
Secondary Lung Cancer Dogs : Respiratory Problems In Dogs Trudell Animal Health : Most lung tumors are malignant carcinomas (frequently in the form of adenocarnimas).. Some may have a worse prognosis than others. Lung metastasis in dogs (and sometime it happens to cats, too) is a tough situation to experience. Lung cancer accounts for about one percent of all cancers in dogs. Metastatic lung tumors are tumors that originate from cancer elsewhere in the dog's body then spread to the lungs. In female dogs, mammary cancer also spreads to the lungs.
An estimated 158,040 deaths from lung cancer (86,380 in men and 71,660 among women) contrary to the disease in people, lung cancer is very rare in dogs and cats. The second type is metastatic lung cancer whichis cancer that originates elsewhere in the body such as a leg bone, the mouth, or the thyroid gland, but has spread to the lung via the bloodstream. It is estimated that 25% of dogs with a lung tumor show no related signs of cancer. Symptoms of lung cancer in dogs. Other lung tumors in dogs may include a primary lung histiocytic sarcoma.
Thoracic Tumors Lung Dr Julius Liptak from images.squarespace-cdn.com It hurts, and feels hopeless, but it's important to remember that it's not necessarily the end of the journey. Lung metastasis in dogs (and sometime it happens to cats, too) is a tough situation to experience. The first is primary lung cancer which is defined as lung tumors that originate in the lung tissue. It accounts for 1% of all neoplasms reported in dogs. The most common causes of lung cancer in dogs includes: Lung cancer in dogs prognosis: Metastatic lung cancer originates in other parts of the body such as a leg bone, the mouth, or the thyroid gland, but has spread to the lung through the bloodstream. All breeds and both genders appear to be equally affected.
The first is primary lung cancer which is defined as lung tumors that originate in the lung tissue.
This is a malignant neoplasm, with the ability to grow rapidly and metastasize to distant parts of the body, including the organs, lymph nodes, bones, brain and eyes. Lung cancer in dogs may be primary, originating in the lungs or it may come from a different area of the body such as the liver, and then the cancer metastizes to the lungs.primary lung cancer in dogs is rare and has four stages, and it is important to detect the condition as early as possible, to be able to administer treatment that may save your dog's life. The most common causes of lung cancer in dogs includes: Description — primary lung cancer may arise from any part of the lung but neoplasm of the conducting airways or alveolar parenchyma (functional part of the lungs consisting of the alveoli) are the most common. In female dogs, mammary cancer also spreads to the lungs. Pulmonary metastases (also known as lung metastases or lung mets) can be asymptomatic early on. Adenocarcinoma tumors in dogs start out as abnormal growths in the epithelial tissue layer. This is known as metastasis, and it is a secondary type of cancer in dogs. Other common respiratory diseases that might make you worried about cancer are …. There are two type of lung cancer diagnosed in dogs. The second kind of lung cancer in dogs is called metastatic lung cancer, which means the cancer originated somewhere else in the body, but has spread to the lung. Primary lung tumors are those that arise from the lungs, mostly from cells lining the bronchi. Most primary lung tumors are diagnosed at an average age of 10 to 12 years in dogs.
But in some rare cases, it may be a lung cancer (primary or secondary). The second type is metastatic lung cancer which is cancer that originates elsewhere in the body such as a leg bone, the mouth, or the thyroid gland, but has spread to the lung via the bloodstream. Symptoms of lung cancer in dogs. All breeds and both genders appear to be equally affected. Pulmonary metastases (also known as lung metastases or lung mets) can be asymptomatic early on.
Primary Pulmonary Neoplasia The Results Of Surgical Treatment from animalmedcenter.b-cdn.net The lung is the most common location for metastatic osteosarcoma. It accounts for 1% of all neoplasms reported in dogs. The second type is metastatic lung cancer which is cancer that originates elsewhere in the body such as a leg bone, the mouth, or the thyroid gland, but has spread to the lung via the bloodstream. In this group, it is expected that more than 50% live a year after the surgical removal of the mass. Most primary lung tumors are a type of cancer called carcinoma. Most primary lung tumors are diagnosed at an average age of 10 to 12 years in dogs. Metastasis of another cancer into the lungs (this is the most common cause of lung cancer in dogs) passive inhalation of smoke in their environment, or second hand smoking living in a suburban area with high levels of pollution Adenocarcinoma of the lung makes up about 75 percent of all primary lung tumors in dogs.
Epithelial lung tumors one of the types of tumors are called epithelial lung tumors.
Metastatic lung cancer in dogs refers to tumors that started elsewhere in the body, but metastasized (spread) to the lungs. Most lung tumors are malignant carcinomas (frequently in the form of adenocarnimas). Lung cancer in dogs can be primary or metastatic. Metastatic lung cancer originates in other parts of the body such as a leg bone, the mouth, or the thyroid gland, but has spread to the lung through the bloodstream. The following diagnostics are recommended: Epithelial lung tumors one of the types of tumors are called epithelial lung tumors. The average age of dogs with primary lung tumors is approximately 11 years and the risk of developing lung cancer rises after the age of 13. There are two type of lung cancer diagnosed in dogs. An estimated 158,040 deaths from lung cancer (86,380 in men and 71,660 among women) contrary to the disease in people, lung cancer is very rare in dogs and cats. In the absence of diagnostic testing, it can be challenging to detect lung cancer in dogs. They can be detected on chest radiographs or computed tomography (ct) scanning. Metastatic lung tumors usually present themselves as multiple masses. Some may have a worse prognosis than others.
An estimated 158,040 deaths from lung cancer (86,380 in men and 71,660 among women) contrary to the disease in people, lung cancer is very rare in dogs and cats. Secondary metastasis to the lungs is more common than primary canine neoplasm. All breeds and both genders appear to be equally affected. In this group, it is expected that more than 50% live a year after the surgical removal of the mass. Pulmonary metastases (also known as lung metastases or lung mets) can be asymptomatic early on.
How Long Can Dogs Live With Metastatic Cancer And Metronomic Chemotherapy Vlog 105 Youtube from i.ytimg.com In female dogs, mammary cancer also spreads to the lungs. Pulmonary metastases (also known as lung metastases or lung mets) can be asymptomatic early on. Metastasis of another cancer into the lungs (this is the most common cause of lung cancer in dogs) passive inhalation of smoke in their environment, or second hand smoking living in a suburban area with high levels of pollution One of the most devastating things is finding out your dog or cat's cancer has metastatic cancer, or that the cancer has spread. The lung is the most common location for metastatic osteosarcoma. Lung cancer in dogs may be primary, originating in the lungs or it may come from a different area of the body such as the liver, and then the cancer metastizes to the lungs.primary lung cancer in dogs is rare and has four stages, and it is important to detect the condition as early as possible, to be able to administer treatment that may save your dog's life. This is often to the lungs, but also to lymph nodes and organs in the abdomen. Dogs with metastatic lung cancers generally have several tumors in the lungs, not just a single growth.
Most dogs with lung tumors present with coughing, exercise intolerance or other respiratory signs.
Lung cancer in dogs prognosis: In female dogs, mammary cancer also spreads to the lungs. Secondary metastasis to the lungs is more common than primary canine neoplasm. Pulmonary metastases (also known as lung metastases or lung mets) can be asymptomatic early on. The second type is metastatic lung cancer which is cancer that originates elsewhere in the body such as a leg bone, the mouth, or the thyroid gland, but has spread to the lung via the bloodstream. This is a malignant neoplasm, with the ability to grow rapidly and metastasize to distant parts of the body, including the organs, lymph nodes, bones, brain and eyes. Dogs with metastatic lung cancers generally have several tumors in the lungs, not just a single growth. Primary lung tumors are those that arise from the lungs, mostly from cells lining the bronchi. Lung cancer accounts for about one percent of all cancers in dogs. In the absence of diagnostic testing, it can be challenging to detect lung cancer in dogs. While both primary lung cancer and metastatic lung cancer have similar symptoms, coughing tends to be less common with metastatic tumors. Symptoms of lung cancer in dogs. It hurts, and feels hopeless, but it's important to remember that it's not necessarily the end of the journey.
Card Making Classes Online / Card-Making Class - Get started on card making with 6x6 paper pads: . Here at online card classes we're passionate about cards and can't wait to share our love with you! Create compelling card designs by adding your own photos, images and artwork. So it's up to us card. Theresa stufano, owner of stamps4joy, will again demonstrate how to create your own greeting card(s) via a video tutorial. Learn how to add dimension using a variety of techniques ranging from ink blending to direct inking. Class info class video join laurel beard in this fun class geared towards 3d embossing. Here at online card classes we're passionate about cards and can't wait to share our love with you! Shop a huge selection of card making supplies, card making kits, stamps & more online. You will find the list of supplies i used towards the bottom of this post so you can build your order around that, or purchase. You can either cover the c...
04.11.2021 · earlier this week, the squid cryptocurrency, inspired by popular netflix series squid game, raised scam suspicions after its value dipped by 99.99 percent and its … Find out about poker rakeback, bitcoin poker, the history of poker & more. 30.11.2021 · parag agrawal has been named jack dorsey's successor to lead twitter. A bitcoin poker guide … Poker rakeback & the history of rakeback. IBM sees blockchain as ready for government use from images.idgesg.net Poker rakeback & the history of rakeback. A bitcoin poker guide … Find out about poker rakeback, bitcoin poker, the history of poker & more. Download and use 800+ bitcoin stock photos for free. We're the world's most trusted cryptocurrency exchange, with over 68 million users across 100+ countries worldwide. Usa poker legislation federal and state ...
How Long Does A Dog Have To Live After Being Diagnosed With Lymphoma / New Approaches In Canine Multicentric Lymphoma Veterinary Practice / Depending on how far the cancer has spread, your dog may live anywhere from a year to several after successful treatment. . The prognosis for lymphoma varies, depending on various characteristics that can only be determined by specialized testing. Lymphoma is one of the most common cancers in dogs. How long does a dog live after being diagnosed with lymphoma? And others will continue to live comfortably for months on end. If your dog has lymphoma, their survival time will depend on which type they have, where it is, how aggressive it is, how far it's spread, and the symptoms it causes. The dogs lived normal life spans. How long does a dog live after being diagnosed with lymphoma? If left untreated, dogs with lymphoma will generally die from their disease within 3 to 4 weeks. How long does he have to live? If your dog has lymp...
Komentar
Posting Komentar