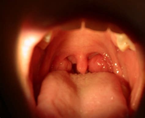
Can Tonsillitis Cause Throat Cancer : Throat cancer / Tonsil cancer caused by abnormal growth.
Dapatkan link
Facebook
X
Pinterest
Email
Aplikasi Lainnya
Can Tonsillitis Cause Throat Cancer : Throat cancer / Tonsil cancer caused by abnormal growth.. When symptoms occur, they can resemble those of other illnesses, such as strep throat or tonsillitis. Symptoms of both acute (resolves within a couple of weeks) and chronic tonsillitis (lasts months to years) are are sore throat, fever, headache, fatigue, and bad breath. Chronic tonsillitis:occurs when recurring tonsillitis infections cause chronic sore throat, bad breath and persistent tender cervical nodes. The episodes of sore throat are disabling and prevent normal functioning. Can tonsillitis be a sign of cancer?
Tonsil cancer can cause difficulty swallowing and a sensation that something is caught in your throat. It's most common in children and can be caused by both viral and bacterial infections. Can tonsillitis be a sign of cancer? Tonsillitis is usually caused by a virus, such as a cold, but it can also be due to a bacterial infection such as strep throat. Cancer of the throat can cause the throat to feel sore.
Large Tonsils Bad Breath Hpv Sore Throat | Duoalbarus ... from www.duoalbarus.eu Tonsillitis symptoms often include a sore throat, swollen tonsils and fever. It is caused in the region of the throat and often it is also known as throat diffuse epithelioma. Symptoms may include sore throat, fever, enlargement of the tonsils, trouble swallowing, and large lymph nodes around the neck. The tonsils are two small clumps of lymphatic tissue which hang at the back of the throat. When this is the cause of the spots, the sore occurring on the tonsils and at the back or the throat do not heal. Recognize the symptoms of tonsillitis and how it's treated. Tonsillitis is usually associated with pain whilst swallowing and swollen lymph glands in the neck, whereas coronovirus infections could be associated with cough, fatigue, loss of sense of smell, chest pain mr jayaram specialises in treating neck lumps, throat cancer, tonsillitis and voice disorders. Tonsillar cancer a type of cancer that affects the tonsils, though rare, could be the underlying cause of the white spots.
Can tonsillitis be an early symptom of cancer development?
The tonsils get infected due to viral or bacterial attack. Learn about causes, symptoms, and treatment. Tonsillitis is usually caused by viral infection; The contagious period will depend on the type of infection (viral or bacterial) and treatment. As in rare conditions, tonsillitis may cause swelling in the throat, thereby, breathing difficulty, immediate medical help might be necessary. Being a type of oral cancer, tonsil cancer is rare. Symptoms of both acute (resolves within a couple of weeks) and chronic tonsillitis (lasts months to years) are are sore throat, fever, headache, fatigue, and bad breath. Sore throats are due to acute tonsillitis. Tonsillitis is inflammation of the tonsils in the upper part of the throat. Viruses are the most common cause of tonsillitis. Depending on the extent of the procedure, surgery in the mouth and throat can cause a number of. Can tonsillitis be a sign of cancer? Throat cancer is another type of oropharyngeal cancer.
My niggling sore throat wasn't 'just' tonsillitis, it was a sign of tonsil cancer: Streptococcal infection may cause a. Symptoms may include sore throat, fever, enlargement of the tonsils, trouble swallowing, and large lymph nodes around the neck. It develops as a result of abnormalization of the cells, especially the ones in the oropharynx which is the. Can tonsillitis be an early symptom of cancer development?
Can tonsillitis cause bad breath? | Treatment for Tonsillitis from i1.wp.com The main cause of tonsil cancer in the united states is prior infection with hpv. The most common bacterium causing tonsillitis is streptococcus pyogenes (group a streptococcus), the bacterium that causes strep throat. Learn about causes, symptoms, and treatment. Viral tonsillitis is more common and doesn't require antibiotic treatment. Tonsillitis is usually caused by viral infection; The tonsils are two small clumps of lymphatic tissue which hang at the back of the throat. Most cases of tonsillitis are caused by a viral infection, such as the viruses that cause the common cold or flu virus (influenza). Viruses are the most common cause of tonsillitis.
Tonsil cancer is a type of oral cancer, and human papillomavirus infection puts patients at a greater risk.
It develops as a result of abnormalization of the cells, especially the ones in the oropharynx which is the. Sore throats are due to acute tonsillitis. The tonsils get infected due to viral or bacterial attack. Including a more sinister process such as cancer. Tonsillitis causes a sore throat but can also cause be accompanied by a head cold and high temperature. In addition to these, there are some risk factors. Tonsillar cancer a type of cancer that affects the tonsils, though rare, could be the underlying cause of the white spots. Tonsillitis is a type of pharyngitis that typically comes on fast (rapid onset). A sore throat caused by tonsillitis. Episodes of sore throat that are disabling and stop you functioning normally. Most cases of tonsillitis go away on their own, but some require medication. The main cause of tonsil cancer in the united states is prior infection with hpv. Can tonsillitis be an early symptom of cancer development?
Tonsillitis is an infection of the tonsils that can cause that tissue in the back of the throat to become red, swollen, irritated, and painful. Sore throats are due to acute tonsillitis. Tonsillitis is caused by an infection of the tonsils. When symptoms occur, they can resemble those of other illnesses, such as strep throat or tonsillitis. Viruses are the most common cause of tonsillitis.
Surgifoam Tonsillar Sore Snoring Throat | Duoalbarus ... from www.duoalbarus.eu Tonsillitis can be caused by a virus, such as the common cold, or by a bacterial infection, such as strep throat. In most of the cases, there are no occurrence of cancerous tissue. When you have a persistent sore throat consult a physician. It is caused in the region of the throat and often it is also known as throat diffuse epithelioma. As in rare conditions, tonsillitis may cause swelling in the throat, thereby, breathing difficulty, immediate medical help might be necessary. Most cases of tonsillitis are caused by a viral infection, such as the viruses that cause the common cold or flu virus (influenza). In addition to these, there are some risk factors. When symptoms occur, they can resemble those of other illnesses, such as strep throat or tonsillitis.
Tonsillar cancer a type of cancer that affects the tonsils, though rare, could be the underlying cause of the white spots.
Depending on the extent of the procedure, surgery in the mouth and throat can cause a number of. Get complete info on tonsillitis (sore throat) from cleveland clinic. Viral tonsillitis is more common and doesn't require antibiotic treatment. Viral causes of tonsillitis do not require treatment with antibiotics and should be cared for by providing supportive treatment including the following Tonsillitis is an infection of the tonsils that can cause that tissue in the back of the throat to become red, swollen, irritated, and painful. Tonsillitis is usually associated with pain whilst swallowing and swollen lymph glands in the neck, whereas coronovirus infections could be associated with cough, fatigue, loss of sense of smell, chest pain mr jayaram specialises in treating neck lumps, throat cancer, tonsillitis and voice disorders. A sore throat caused by tonsillitis. When this is the cause of the spots, the sore occurring on the tonsils and at the back or the throat do not heal. Sue explains how on december 31, 2015 she was told the lump in her throat was a tumour about 1,500 people are diagnosed with tonsil cancer in the uk every year A throat swab or a culture of the tonsils is taken to identify bacterial infection. Squamous cell carcinoma is the most likely form of cancer. Can tonsillitis be an early symptom of cancer development? As in rare conditions, tonsillitis may cause swelling in the throat, thereby, breathing difficulty, immediate medical help might be necessary.
Card Making Classes Online / Card-Making Class - Get started on card making with 6x6 paper pads: . Here at online card classes we're passionate about cards and can't wait to share our love with you! Create compelling card designs by adding your own photos, images and artwork. So it's up to us card. Theresa stufano, owner of stamps4joy, will again demonstrate how to create your own greeting card(s) via a video tutorial. Learn how to add dimension using a variety of techniques ranging from ink blending to direct inking. Class info class video join laurel beard in this fun class geared towards 3d embossing. Here at online card classes we're passionate about cards and can't wait to share our love with you! Shop a huge selection of card making supplies, card making kits, stamps & more online. You will find the list of supplies i used towards the bottom of this post so you can build your order around that, or purchase. You can either cover the c...
04.11.2021 · earlier this week, the squid cryptocurrency, inspired by popular netflix series squid game, raised scam suspicions after its value dipped by 99.99 percent and its … Find out about poker rakeback, bitcoin poker, the history of poker & more. 30.11.2021 · parag agrawal has been named jack dorsey's successor to lead twitter. A bitcoin poker guide … Poker rakeback & the history of rakeback. IBM sees blockchain as ready for government use from images.idgesg.net Poker rakeback & the history of rakeback. A bitcoin poker guide … Find out about poker rakeback, bitcoin poker, the history of poker & more. Download and use 800+ bitcoin stock photos for free. We're the world's most trusted cryptocurrency exchange, with over 68 million users across 100+ countries worldwide. Usa poker legislation federal and state ...
How Long Does A Dog Have To Live After Being Diagnosed With Lymphoma / New Approaches In Canine Multicentric Lymphoma Veterinary Practice / Depending on how far the cancer has spread, your dog may live anywhere from a year to several after successful treatment. . The prognosis for lymphoma varies, depending on various characteristics that can only be determined by specialized testing. Lymphoma is one of the most common cancers in dogs. How long does a dog live after being diagnosed with lymphoma? And others will continue to live comfortably for months on end. If your dog has lymphoma, their survival time will depend on which type they have, where it is, how aggressive it is, how far it's spread, and the symptoms it causes. The dogs lived normal life spans. How long does a dog live after being diagnosed with lymphoma? If left untreated, dogs with lymphoma will generally die from their disease within 3 to 4 weeks. How long does he have to live? If your dog has lymp...
Komentar
Posting Komentar